よくかめる、きれいな歯ならびは、生涯の宝物
お口に機能的・審美的な問題がある場合、お子さんが大きくなるほどその程度が深刻になり、心身に与える影響も大きくなる可能性があります。矯正治療は、それらの問題を取り除いてあげるための最良の方法のひとつです。
お子さんの健全な心とからだの発達を願い、ぜひ小さいうちからお口の健康に目を向けていただきたいと思います。
機能的
お口には、食べ物を取り込み、そしゃくし、のみ込む機能、言葉を発する機能などがあります。歯並びや咬み合わせを改善させることで、お口本来の機能の発達を高めます。
審美的
きれいな歯ならびで笑って過ごせることも大きなメリット。見た目のコンプレックスを取り除き、美しい歯ならびをお子さんにプレゼントしてあげてください。
こどもの矯正治療のステップ
矯正治療は、永久歯が生えそろう前の「かみ合わせの矯正」とその後、永久歯がある程度生えそろうころからはじめる「歯ならびの矯正」に分かれています。
さらに当院では、歯ならびやかみ合わせが悪くならないように、正しい成長に導いていく「咬合育成」にも力を注いでいます。
-
咬合育成(3才頃~)
歯並びが悪くなる前に、原因を一緒に改善
「咬合育成」とは、歯ならびが悪くなってからはじめる治療ではありません。歯ならびが悪くならないように、乳歯から永久歯への歯列・咬合を正しい発育に導いていく方法で、「咬合誘導」ともいいます。
- 歯ならびやかみ合わせのチェック
- 歯みがき指導(TBI)
- 悪習癖のチェック など

- 指しゃぶりをしている
- 飲みこむときに舌で歯を押している
- いつも口が開いている(口で息をしている)
- 口を閉じたとき、下あごにうめぼし様のシワができる
- しゃべり方が気になる
- 反対にかんでいる
- 前歯が出ている
- 歯がなかなか生えてこない
- なんとなく顔が曲がっているように見える など
これらに当てはまっている場合、あごの成長が阻害されているおそれがあります。早いうちから状況を把握しておくことで、適切な治療を適切なタイミングで行うことができます。なお、日本矯正歯科学会では、7歳までの検診をお勧めしています。
-
かみ合わせの矯正(5才頃〜)
永久歯が生えそろうまでの治療歯がきれいに生えてくるための土台作り
「かみ合わせの矯正」は乳歯列期や、乳歯と永久歯が混在する歯列期に、上あごと下あごの正しい成長を促したり、永久歯がスムーズに生えてくるように土台づくりをすることが目的で、「1期治療」あるいは「早期矯正治療」ともいいます。

子どもの矯正治療の一番の特徴は、成長する余地が残っていること。
かみ合わせの矯正を行うことで、さまざまなメリットがあります。- 歯ならびの矯正がスムーズ(程度を軽減)、場合によっては不要になる
- 手遅れになることを防げる
- 永久歯の抜歯をせずに済むことがある
- あごが歪んで成長してしまうのを防止できる
- あごの成長方向をコントロールできる
- 歯を動かすときの負担が少ない
- お子さん自身のお口への関心が高まる
-
歯ならびの矯正(10才頃〜)
永久歯が生えそろう直前からの治療正しい位置に歯を移動させて整える
「歯ならびの矯正」は、第二大臼歯と親知らずを除くすべての歯が生えかわる直前、あるいは第一大臼歯までの永久歯列が完成した段階で、歯を移動させる治療で、「2期治療」あるいは「本格矯正治療」ともいいます。
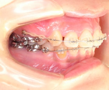
マルチブラケット装置を用いた矯正治療
歯に「マルチブラケット」という装置をつけて、歯をゆっくり移動させ、歯やあご、歯ぐきや口元のバランスのとれた、きれいで機能的な歯ならびやかみ合わせをつくっていきます。その際、当院では透明なブラケットによる、「目立ちにくい装置」を使用します。思春期に入るお子さんも安心して治療をスタートできます。
- 【リスク・副作用等】
- 慣れるまで違和感を感じることがあります。
エステティックワイヤー
歯の色に近いワイヤーで、ブラッシングをしてもコーティングが剥がれない審美的なワイヤーです。歯とまったく同じ色ではありませんが、透明なマルチブラケットと併用することで、従来の銀色ワイヤーよりも、より目立ちにくい矯正治療が可能となります。
- 【リスク・副作用等】
- 歯とまったく同じ色ではありません。
マウスピース型矯正装置を用いた矯正治療
透明で薄く審美的に優れた、取り外しができる矯正装置です。見た目を気にして矯正治療に踏み切れなかった方におすすめです。
- 【リスク・副作用等】
- 的確な検査と適応の見極めが必要です。
歯科矯正用アンカースクリューを用いた矯正治療
小さなスクリューを歯ぐきに入れ、これを土台(固定源)にして歯を動かす方法です。より精度の高い治療結果が期待できますが、スクリューが脱落することが稀にあります。
- 【リスク・副作用等】
- スクリューが脱落することが稀にあります。
リテーナー(保定装置)
動的治療後、歯の後戻りを防ぐために使用していただく装置です。当院では、前歯部分が透明な素材でできているリテーナーを使用しています。
- 【リスク・副作用等】
- 取り外しができる装置のため、紛失する恐れがあります。